Oleh: Nik Nur Zakia Abdullah@IMedikel TV
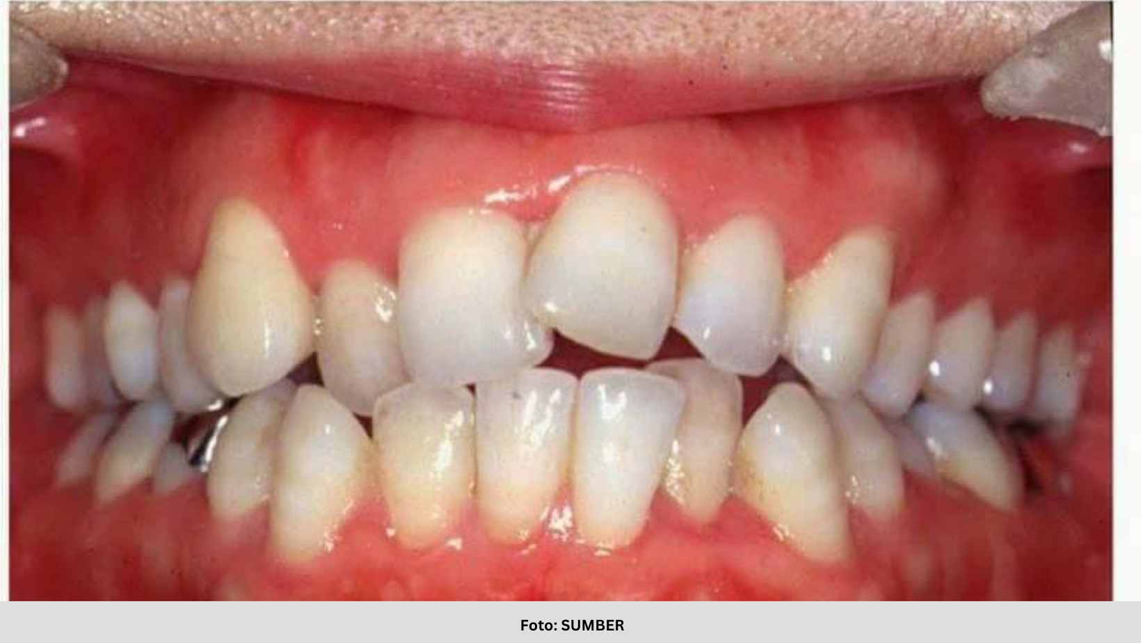
Gigi tidak tersusun atau maloklusi ialah suatu keadaan di mana gigi-gigi dalam mulut tidaktersusun dengan baik atau jongang.
Menurut portal myhealth terdapat beberapa faktor yang menyebabkan gigi tidak tersusun dengan baik.
Antaranya :
- Faktor keturunan
- Saiz tulang rahang dan gigi tidak seimbang
- Bilangan gigi yang lebih
- Bentuk gigi yang tidak normal
- Gigi terhimpit kerana tidak cukup ruang (terimpak)
- Kehilangan awal gigi susu atau gigi kekal
- Tabiat buruk seperti menghisap jari atau menggigit bibir
Bagaimana rupa dan keadaan gigi yang tidak tersusun?
Gigi tersebut mungkin kelihatan :
- Bertindih antara satu sama lain
- Terpusing (Dracula-like eye teeth)
- Terkeluar mencucuk bibir, pipi atau lidah

Adakah komplikasinya?
Gigi tidak tersusun sering dikaitkan dengan :
- Paras rupa kurang menarik
- Oral higin yang kurang
- Penyakit gusi
- Masalah sendi rahang
Masalah gigi yang tidak tersusun boleh dibetulkan dengan rawatan ortodontik.
Rawatan mungkin melibatkan :
- Cabutan sebatang atau lebih gigi (tidak perlu memakai aplians ortodontik)
- Pemakaian aplians ortodontik boleh tanggal
- Pemakaian aplians ortodontik tetap
Bilakah masalah ini boleh dirawat?
Sebaik-baiknya rawatan ortodontik untuk masalah ini dimulakan pada peringkat awal lagi semasa tumbesaran atau perkembangan rahang mulut. Rawatan awal akan menggalakkan perkembangan gigi yang normal.
Dimanakah rawatan ortodontik boleh diperolehi?
Rawatan ortodontik boleh diperolehi di klinik-klinik pergigian kerajaan.
Walaubagaimanapun keutamaan rawatan diberikan kepada murid-murid sekolah.
Dapatkan pemeriksaan dan doktor pergigian akan membuat rujukan ke pakar ortodontik jika rawatan ortodontik diperlukan.
IMedikel TV






